Откуда у 80-летних «суперстариков» мозги 20-летних?

Откуда у 80-летних «суперстариков» мозги 20-летних?
Откуда у 80-летних «суперстариков» мозги 20-летних?

Мозг большинства пожилых людей со временем деградирует, но некоторые соответствуют или даже превосходят более молодых людей в когнитивных тестах.

Image
Image

Ключевые выводы

  • «Пожилые люди», похоже, избегают ухудшения когнитивных функций, которым страдает большинство пожилых людей.
  • Новое исследование предполагает, что это связано с более высокой функциональной связностью в ключевых сетях мозга.
  • Неясно, какова конкретная причина этого, но исследования выявили несколько видов деятельности, которые способствуют улучшению здоровья мозга в пожилом возрасте.

В какой-то момент в 20-30 лет что-то начинает меняться в нашем мозгу. Они начинают немного уменьшаться. Миелин, изолирующий наши нервы, начинает частично терять свою целостность. По мере того, как наш мозг вырабатывает меньше нейротрансмиттеров, отправляется все меньше и меньше химических сообщений.

Когда мы становимся старше, эти процессы усиливаются. Масса мозга после 40 лет уменьшается примерно на 5 процентов каждые десять лет. Лобная доля и гиппокамп - области, связанные с кодированием памяти, - начинают уменьшаться в основном к 60 или 70 годам. Но это всего лишь печальная реальность; Вы не можете всегда быть молодыми, и в конце концов все начнет ломаться. Это одна из причин, по которой некоторые люди думают, что мы все должны надеяться на жизнь, которая закончится к 75 годам, прежде чем наступят наихудшие последствия времени.

Но это может быть немного преждевременно. Некоторые счастливчики, кажется, сопротивляются этим разрушительным силам, воздействующим на наш мозг. В когнитивных тестах эти 80-летние «супервозрастники» показывают такие же результаты, как и люди в возрасте 20 лет.

Image
Image

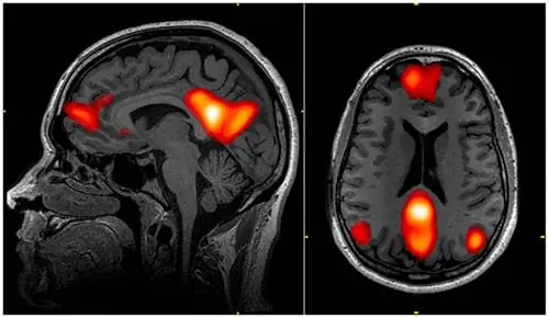
Изображение мозга с выделением областей, связанных с сетью режима по умолчанию.

Wikimedia Commons

Такой же острый, как хлыст

Чтобы выяснить, что стоит за феноменом суперстарения, исследователи провели исследование, изучив мозг и когнитивные способности двух групп: 41 молодого человека в возрасте от 18 до 35 лет и 40 пожилых людей в возрасте от 18 до 35 лет. в возрасте от 60 до 80 лет.

Во-первых, исследователи провели серию когнитивных тестов, таких как Калифорнийский тест на словесное обучение (CVLT) и Тест на создание следов (TMT). Семнадцать участников старшей группы набрали не меньше среднего балла младшей группы. То есть этих 17 человек можно было считать суперстариками, выступающими на том же уровне, что и более молодые участники исследования. Помимо этих людей, члены старшей группы, как правило, хуже справлялись с когнитивными тестами. Затем исследователи просканировали мозг всех участников с помощью фМРТ, уделяя особое внимание двум частям мозга: сети режима по умолчанию и сети заметности.

Сеть режима по умолчанию - это, как можно предположить из ее названия, ряд областей мозга, которые активны по умолчанию - когда мы не заняты какой-либо задачей, они, как правило, проявляют более высокий уровень активности. Это также, по-видимому, очень связано с мыслями о себе, мыслями о других, а также с аспектами памяти и мыслями о будущем.

Сеть значимости - это еще одна сеть областей мозга, названная так потому, что она тесно связана с обнаружением и интеграцией значимых эмоциональных и сенсорных стимулов. (В неврологии значимость означает, насколько элемент «выделяется»). Обе эти сети также чрезвычайно важны для общей когнитивной функции, и у пожилых людей активность в этих сетях была более скоординированной, чем у их сверстников.

Почему мы относимся к старикам как к младенцам? Это эйджизм.

Как обеспечить здоровье мозга в пожилом возрасте

Несмотря на то, что предыдущие исследования выявили некоторые генетические факторы, влияющие на то, насколько «грациозно» стареет мозг, вполне вероятно, что есть виды деятельности, которые могут способствовать здоровью мозга. «Мы надеемся определить вещи, которые мы можем прописать людям, которые помогут им стать более пожилыми людьми», - сказал Брэдфорд Дикерсон, один из исследователей в этом исследовании, в своем заявлении.«Это не столько таблетки, сколько рекомендации по образу жизни, диете и упражнениям. Это одна из долгосрочных целей данного исследования - попытаться помочь людям стать сверхвозрастными, если они этого захотят».

На сегодняшний день есть некоторые предварительные данные о том, как можно дольше сохранять молодость мозга. Например, более высокий уровень образования и работа, требующая интеллектуальных усилий, предсказывают наличие более высоких когнитивных способностей в пожилом возрасте. Вообще говоря, поговорка «используй или потеряешь» кажется справедливой; когнитивно-активный образ жизни помогает защитить мозг в пожилом возрасте. Таким образом, может возникнуть соблазн заполнить свои золотые годы пивом и повторами CSI, но вряд ли это поможет вам сохранить преимущество.

Помимо этих интуитивных способов сохранить мозг здоровым, регулярные физические упражнения улучшают когнитивное здоровье в пожилом возрасте, как отметила Дикинсон. Диета также является защитным фактором, особенно если она содержит жирные кислоты омега-3 (которые содержатся в рыбьем жире), полифенолы (содержащиеся в темном шоколаде!), витамин D (яичные желтки и солнечный свет) и витамины группы В (мясо)., яйца и бобовые). Есть также доказательства того, что здоровая социальная жизнь в пожилом возрасте может защитить от снижения когнитивных функций.

Для многих физический упадок, связанный со старостью, является ожидаемым побочным эффектом полноценной жизни. Но мысль о том, что наш интеллект также деградирует, может быть гораздо более пугающей реальностью. К счастью, существование суперстариков показывает, что, по крайней мере, мы не должны мириться со снижением когнитивных функций без борьбы.