Симптомы бешенства вдохновили народные сказки об оборотнях и вампирах

Симптомы бешенства вдохновили народные сказки об оборотнях и вампирах
Симптомы бешенства вдохновили народные сказки об оборотнях и вампирах

Укус бешеной собаки вызвал отвратительную метаморфозу, которая превратила его человеческую жертву в гнусного монстра.

Как бешенство вдохновило вампиров, оборотней и других монстров
Как бешенство вдохновило вампиров, оборотней и других монстров

В 1855 году Brooklyn Daily Eagle сообщила об ужасном убийстве невесты ее новым мужем. История произошла из сельской местности Франции, где родители женщины первоначально воспрепятствовали помолвке пары «из-за странного поведения, иногда наблюдаемого у молодого человека», хотя он «во всем остальном был наиболее подходящей парой.”

Родители в конце концов согласились, и брак состоялся. Вскоре после того, как молодожены удалились, чтобы завершить свою связь, из их покоев донеслись «страшные крики». Скоро прибыли люди, чтобы найти «бедную девушку… в агонии смерти - грудь ее была разорвана и разорвана самым ужасным образом, а несчастный муж в припадке бешенства и весь в крови, фактически съевший часть грудь несчастной девушки».

Невеста вскоре умерла. Ее муж после «ожесточенного сопротивления» также скончался.

Что могло вызвать этот ужасный инцидент? «Затем в ответ на дотошные вопросы врача вспомнили», что жениха ранее «укусила чужая собака». Переход безумия от собаки к человеку казался единственно возможной причиной ужасного поворота событий.

Орел как ни в чем не бывало описал этот эпизод как «печальный и мучительный случай гидрофобии», или, говоря современным языком, бешенства.

Но рассказ читается как готическая страшилка. По сути, это был рассказ об оборотнях: укус бешеной собаки вызвал отвратительную метаморфозу, которая превратила свою человеческую жертву в гнусного монстра, порочные сексуальные импульсы которого приводили к непристойному и отвратительному насилию.

Моя новая книга «Бешеные псы и другие жители Нью-Йорка: бешенство, медицина и общество в американском мегаполисе, 1840-1920» исследует скрытый смысл того, как люди говорят о бешенстве. Варианты истории о бешеном женихе рассказывались и пересказывались в англоязычных газетах Северной Америки, по крайней мере, с начала 18 века, и они продолжали появляться вплоть до 1890-х годов.

Рассказ Орла был, по сути, народной сказкой о бешеных собаках и тонкой грани между человеком и животным. Бешенство вызывало страх, потому что казалось, что это заболевание способно превратить людей в свирепых зверей.

Страшная и смертельная болезнь

Историк Ойген Вебер однажды заметил, что французские крестьяне в 19 веке боялись «больше всего волков, бешеных собак и огня». Собачье безумие - или болезнь, которую мы сегодня знаем как бешенство - вызвало в воображении собачьи ужасы, которые на протяжении столетий были кошмарами.

Другие инфекционные заболевания, включая холеру, брюшной тиф и дифтерию, в 19-м и начале 20-го веков унесли гораздо больше жизней. Крик «Бешеная собака!» тем не менее сразу вызвал чувство ужаса, потому что простой укус собаки мог означать длительное испытание изнурительными симптомами, за которым следует верная смерть.

Современная медицина знает, что бешенство вызывается вирусом. Попадая в организм, он через нервную систему попадает в мозг. Типичное время задержки в несколько недель или месяцев между первоначальным контактом и появлением симптомов означает, что бешенство больше не является смертным приговором, если пациент быстро получает инъекции иммунных антител и вакцины, чтобы выработать иммунитет вскоре после встречи с подозрительным животным. Хотя люди редко умирают от бешенства в США, эта болезнь по-прежнему ежегодно убивает десятки тысяч людей во всем мире.

Image
Image

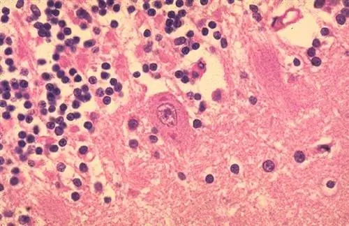
Вирус поражает мозг, что видно по темно-фиолетовым включениям в клетках мозга человека, умершего от бешенства. CDC/д-р. Маконнен Фекаду, CC BY

Согласно источникам XIX века, после инкубационного периода продолжительностью от четырех до двенадцати недель симптомы могут начинаться со смутного чувства возбуждения или беспокойства. Затем они прогрессировали до разрушительных спазматических эпизодов, характерных для бешенства, наряду с бессонницей, возбудимостью, лихорадкой, учащенным пульсом, слюнотечением и затрудненным дыханием. Нередко у жертв проявлялись галлюцинации или другие психические расстройства.

Попытки смягчить вспышки агрессии с помощью лекарств часто терпели неудачу, и тогда врачи могли лишь стоять в стороне и свидетельствовать. Окончательное освобождение наступало только после того, как болезнь шла своим неизбежным летальным исходом, обычно в течение двух-четырех дней. Даже сегодня бешенство остается практически неизлечимым при появлении клинических признаков.

Века назад потеря телесного контроля и рациональности, вызванная бешенством, казалась посягательством на основные человеческие качества жертв. Из настоящей страшной болезни, передаваемой животными, возникли леденящие кровь видения сверхъестественных сил, которые передавали злые силы животных и превращали людей в монстров.

Укусы, превращающие людей в животных

Американские отчеты девятнадцатого века никогда не ссылались на сверхъестественное напрямую. Но описания симптомов указывали на невысказанные предположения о том, как болезнь передала сущность укуса животного страдающему человеку.

Газеты часто описывали тех, кто заразился бешенством от укусов собак, как лающих и рычащих, как собаки, в то время как жертвы кошачьих укусов царапали и плевались. Галлюцинации, спазмы дыхательных путей и неконтролируемые судороги производили устрашающие впечатления от злобного отпечатка бешеного животного.

Традиционные превентивные меры также показали, как американцы спокойно воспринимали размытую границу между человечностью и животностью. Народные средства защиты считали, что жертвы укуса собаки могут защитить себя от бешенства, убив собаку, которая уже укусила их, или приложив к ране собачью шерсть, или отрезав ей хвост.

Такие превентивные меры подразумевали необходимость разорвать невидимую, сверхъестественную связь между опасным животным и его человеческой добычей.

Иногда болезнь оставляла жуткие следы. Когда житель Бруклина умер от бешенства в 1886 году, New York Herald записала странное происшествие: через несколько минут после последнего вздоха человека «синеватое кольцо на его руке - след смертельного укуса ньюфаундленда… исчезло». Только смерть разорвала пагубную хватку бешеной собаки.

Корни вампиров в бешеных собаках

Возможно, наряду с оборотнями, истории о вампирах также возникли из-за бешенства.

Врач Хуан Гомес-Алонсо указал на резонанс между вампиризмом и бешенством в вызывающих мурашки симптомах болезни - искаженных звуках, преувеличенном выражении лица, беспокойстве, а иногда и диком и агрессивном поведении, которые заставляли страдальцев кажутся более чудовищными, чем люди.

Чрезвычайная повышенная чувствительность к раздражителям, вызывающая мучительные спазматические приступы, связанные с бешенством, может иметь особенно странный эффект. Взгляд в зеркало может спровоцировать бурную реакцию, проводя леденящую кровь параллель с неспособностью живых мертвецов-вампиров создать отражение.

Более того, в различных восточноевропейских фольклорных традициях вампиры превращались не в летучих мышей, а в волков или собак, ключевых переносчиков бешенства.

Потому что честолюбивые оборотни, вампиры и другие привидения выходят на улицы на Хэллоуин, помните, что за ежегодным ритуалом конфет и костюмированного веселья скрываются более темные уголки воображения. Здесь животные, болезни и страх смешиваются, а монстры материализуются в точке пересечения между животными и людьми.

Cave canem - остерегайтесь собак.

Эта статья переиздана из The Conversation под лицензией Creative Commons. Прочтите исходную статью.