Компьютеры лучше диагностируют рак

Компьютеры лучше диагностируют рак
Компьютеры лучше диагностируют рак

Компьютерная программа была обучена оценивать рак молочной железы, прогнозируя, какие опухоли связаны с худшими исходами и, следовательно, заслуживают более агрессивного лечения.

Image
Image

Что нового?

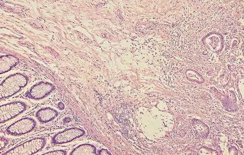
Когда патологоанатом из Гарвардской медицинской школы Эндрю Бек захотел автоматизировать диагностику рака молочной железы с помощью машины под названием C-Path, он мог бы запрограммировать программное обеспечение для распознавания тех же характеристик, которые он ищет при исследовании окрашенных слайдов опухолевых клеток в лаборатория. Вместо этого он позволил компьютеру выбирать, что искать. «Вместо того, чтобы сосредоточиться на самих опухолевых клетках, C-Path определил, что наиболее прогностические признаки были обнаружены в клетках, окружающих опухоль, в области, называемой стромой.”

В чем основная идея?

C-Path - это важный шаг в модернизации области патологии, которая в настоящее время работает так же, как и сто лет назад: путем изучения окрашенных слайдов опухолевых клеток под микроскопом. Йельский патологоанатом Дэвид Римм надеется, что C-Path можно будет использовать для выявления других видов рака, «таких как рак предстательной железы и мочевого пузыря, для которых надежная классификация опухолей оказалась сложной даже для хорошо обученных человеческих глаз». Одним из преимуществ системы C-Path является то, что она объективирует ранее субъективные стандарты.