Диастема, т.е. щель между зубами - как убрать? Устранение диастемы

Диастема, т.е. щель между зубами - как убрать? Устранение диастемы
Диастема, т.е. щель между зубами - как убрать? Устранение диастемы

Диастема, то есть щель между зубами - верхними, может быть проблемой не только эстетического характера. Диастема может привести к проблемам с речью, неправильному прикусу и заболеваниям пародонта. Поэтому в некоторых случаях может потребоваться устранение диастемы. Узнайте, как избавиться от диастемы.

Диастема, то есть щель между зубами - как убрать? Устранение диастемы
Диастема, то есть щель между зубами - как убрать? Устранение диастемы

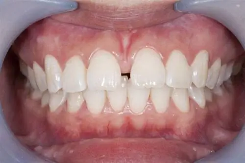
Диастема- этопромежуток междуцентральными резцами, т.е. промежуток между верхними. Диастема не всегда является нарушением прикуса - она становится таковой только тогда, когда щель между зубами превышает 2 мм. В других случаях это просто особенность зубного ряда, не требующая лечения.

Существует несколько видов диастемы. Когда разнесенные зубы параллельны, этопараллельная диастемаЕсли нижние кончики зубов обращены друг к другу, это указывает наконвергентную диастемуВерхние кончики зубов, обращенных друг к другу, означаетрасходящаяся диастема

Диастема (щель между зубами) - причины

В зависимости от причин различают диастему:

  • истинный - является результатом гипертрофии или низкого прикрепления уздечки верхней губы;
  • предполагаемый - обусловлен гиподонтией (отсутствием) боковых резцов, их уменьшенным размером или сверхкомплектными зубами (гипердонтией);
  • физиологический - наблюдается в период до прорезывания постоянных боковых резцов. Появляется в возрасте от 7 до 9 лет и обычно не превышает 2 мм;

Диастема (щель между зубами) - лечение. Как убрать диастему?

При истинной диастеме вырезают уздечку. Также желательно носить брекеты.

Лечение параллельной диастемы зависит от ширины промежутка между зубами (закрывается только тот, что больше 2 мм) и возраста человека.

При конвергентной диастеме необходимо ношение несъемного ортодонтического аппарата, а при дивергентной - съемной. Методы лечения с использованием съемной брекет-системы применимы почти исключительно к растущим пациентам, взрослым пациентам в большинстве случаев требуется лечение несъемными брекетами.

Если псевдодиастема является результатом отсутствия зубов, используются имплантаты. В случае сверхкомплектного зуба проводится экстракция (экстракция зуба) и зубы сближаются акриловой пластиной с винтом или соответствующим образом расположенными межзубными пружинами (параллельная и дивергентная диастема) или несъемным аппаратом (конвергентная).

Только физиологическая диастема не требует лечения, так как закрывается спонтанно.

Важно

Диастема - не только эстетическая проблема

Диастема может привести к проблемам с речью - часто она является причиной шепелявого хрипа, для которого характерно очень резкое, свистящее звучание дентализованных звуков (например, ś, ź, ć, dź; s, z). Кроме того, это может способствовать развитию неправильного прикуса и заболеваний пародонта.

Диастема (щель между зубами) - как еще можно от нее избавиться?

Брекеты - самый эффективный способ избавиться от диастемы, но носить их приходится долго (даже больше года). Для людей, которые не хотят ждать, альтернативой может стать закрытие диастемы винирами. Процедура заключается в наклеивании тонких, примерно 0,5 мм, фарфоровых пластинок на предварительно отшлифованные зубы.

Однако самым быстрым и, что не менее важно, обратимым методом избавления от диастемы является бондинг, т.е. маскировка щели между зубами композитом. В этом случаеудаление диастемы напоминает установку пломбы: сначала зуб протравливают специальной деминерализующей кислотой, затем наносят композитный материал и придают форму бумажными дисками.

Эффект достигается за одно посещение. Однако этот метод закрытия диастемы менее долговечен, чем виниры, которые могут прослужить до 15 лет.