Бодибилдеры сильные (или просто больше, но слабее)?

Бодибилдеры сильные (или просто больше, но слабее)?
Бодибилдеры сильные (или просто больше, но слабее)?

“Все, что у вас есть в руках, это вода. И вода не делает тебя сильным», - сказала мне однажды девушка, потрогав мой бицепс.

В то время я тренировался почти каждый день в неделю. Эта фраза от девушки - последнее, что хочется услышать, проводя большую часть свободного времени за тренировками в фитнес-центре. Выяснилось, что девушка была крайне сознательна и несчастна в собственной шкуре. Она говорила из зависти.

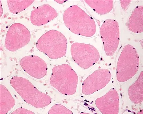
Увеличение размера мышц происходит не из-за воды, а в основном из-за увеличения количества мышечных клеток. Количество мышечных клеток в вашем теле является решающим фактором в определении физического сила, но на удивление не единственная.

Физическая сила проявляется в нескольких формах

Прежде чем я объясню, что такое физическая сила, нам нужно дать правильное определение этому термину. Для одного человека сила определяется как выполнение 100 отжиманий; для другого это жим лежа 225 фунтов.

Хотя все эти различные определения могут быть частью силы, согласно словарю,сила - это способность организма оказывать воздействие на физические объекты.

Факторы силы

Одним из факторов физической силы является количествомышечных клеток в вашем теле.

Мышечные клетки содержат элементы, которые сокращаются по команде. Укорочение элементов создает укорочение всей мышцы, что создает движение в суставе. Если у вас большие мышцы благодаря тренировкам, вы увеличиваете количество мышечных клеток. У вас больше элементов, которые могут сокращаться по команде. Из-за большего количества элементов к суставам можно приложить больше усилий. Поэтому технически больше физической силы.

Изображение
Изображение

Но не только мышечные клетки важны для физической силы. Ранее я утверждал, что мышечные клетки содержат элементы, которые сокращаются по команде. Команда исходит от нервных клеток. Как правило, нейроны, это причудливое слово для нервных клеток, которые быстро адаптируются к вашему графику тренировок. Адаптация вашей нервной системы отвечает за большую часть вашего прироста силы в течение первых нескольких месяцев тренировок,когда ваш мозг просто учится более эффективно активировать мышечные клетки. Сила ограничена ваша нервная активация.

Изображение
Изображение

Еще одна часть, которая может ограничить вашу физическую силу, - это ваше питание. Если у ваших мышц нет достаточной энергии для создания силы, они не смогут сокращаться по команде правильно.

Изображение
Изображение

Аналогия со строительством дома

Простым способом понять связь мышечных клеток с силой является аналогия со строительством дома. Представьте, что вы пытаетесь построить дом. Для этого вы нанимаете компанию со строительными рабочими, которые будут работать на вашей стройке полный рабочий день. Строители - это ваши мышечные клетки.

Естественно, вы хотите закончить процесс строительства дома как можно скорее. Процесс строительства дома - ваша сила. Чем быстрее вы строите дом, согласно этой аналогии, тем больше силы в вашем теле. Увеличение числа строителей может ускорить процесс, но это не единственный фактор.

Если у строителей нет правильного менеджера, менеджер - это ваш мозг, они будут расслабляться во время работы и играть в злых птиц. Если у строителей нет нужных инструментов, а инструменты - это ваши питательные вещества, вы никогда не закончите дом.

Физическая сила - это комбинация этих факторов. Мышечные клетки не только отвечают за создание физической силы, но и играют решающую роль.

Изображение
Изображение

Мышцы нужны для силы

Если у вас много мышц, вы также можете рассчитывать на силу. Как мы уже видели, количество ваших мышечных клеток - не единственный фактор, определяющий вашу силу, но решающий фактор.

Вообще ваше тело адаптируется ко всем факторам благодаря тяжелой атлетике. Это увеличит количество мышечных клеток, нервных связей и усвоение питательных веществ. Один из лучших способов даже нарастить мускулы - развить экстремальную силу.

Когда вы тренируетесь в тренажерном зале:постарайтесь увеличить вес рабочего подхода. Большую часть времени делайте количество повторений между 6-12. Таким образом, ваше тело адаптирует все свои структуры, чтобы увеличить вашу физическую силу.

Вы можете посмотреть анимационное видео на эту тему, нажав здесь.