Хроническая боль может привести к длительному повреждению мозга

Хроническая боль может привести к длительному повреждению мозга
Хроническая боль может привести к длительному повреждению мозга

Хроническая боль может повредить и изменить ваш мозг. Если вы живете с хронической болью, вы знаете, насколько разрушительными и широкомасштабными могут быть последствия для скорости вашей мыслительной обработки, вашего настроения и вашей памяти.

Исследования на людях и мышах показали, что хроническая боль оказывает измеримое воздействие на мозг и что эти изменения могут продолжаться даже после того, как боль прекратилась. С этой точки зрения хроническая боль - это не просто повседневная проблема, от которой страдают многие люди во всем мире. Это также частая причина повреждения головного мозга, которое может значительно увеличить риск тревоги, депрессии и когнитивной дисфункции у тех, кто от него страдает.

Как именно боль меняет мозг?

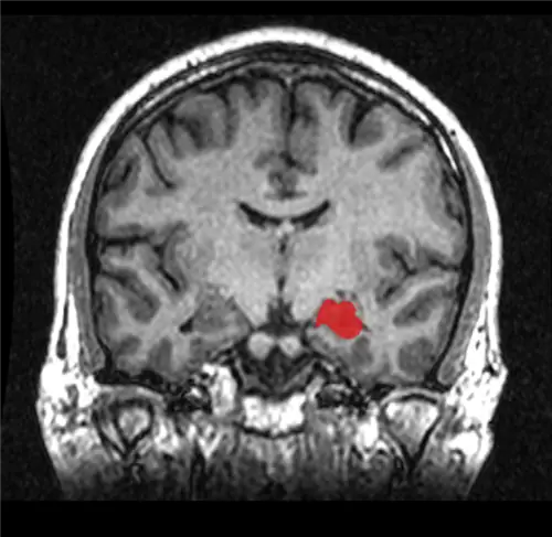
Исследователи из Северо-Западного университета изучили работу мозга у людей и мышей, живущих с хронической болью. Во-первых, они изучили различия в психическом функционировании у людей, живущих с хронической болью и без нее. Используя сканирование мозга, исследователи обнаружили, что у людей с длительной болью, такой как боль в спине (которая определяется как длительность более шести месяцев), были обнаружены признаки сокращения гиппокампа. Это важно, потому что гиппокамп - это область серого вещества в мозгу, отвечающая за обучение и память. На изображении ниже он выделен красным цветом:

Изображение
Изображение

Изображение:

Боль старит мозг

Исследователи сообщают, что хроническая боль, например, при ишиасе, может привести к уменьшению серого вещества в мозге до 11% в год по сравнению с 0.5% наблюдается у здоровых людей. Другими словами, длительная боль сильно ускоряет привычный процесс старения. Это, в свою очередь, оказывает значительное влияние на ряд психических функций, таких как способность учиться, справляться с тревогой и участвовать в надлежащем регулировании эмоций.

Это, в свою очередь, подвергает больных повышенному риску эмоциональных расстройств. Наряду с гиппокампом другой областью мозга, на которую негативно влияет хроническая боль, является миндалевидное тело, выделенное на изображении ниже. Миндалевидное тело играет важную роль в регуляции страха, что может объяснить, почему люди с уменьшенным объемом миндалины чаще страдают от беспокойства.

Изображение
Изображение

Изображение:

Исследователи также исследовали влияние боли на структуры и процессы мозга, используя исследования на животных. Они обнаружили, что по сравнению с мышами, живущими без боли, у животных, живущих с хронической болью, были проблемы с задачами памяти, связанными с эмоциями. Они также были более тревожными в целом по сравнению с контрольными мышами. Мозг пораженных мышей изо всех сил пытался вырастить новые нейронные связи в гиппокампе.

Обычно и люди, и грызуны могут формировать новые связи в этой области мозга, что объясняет, почему мы можем продолжать получать новые знания и навыки на протяжении всей жизни. Однако, когда гиппокамп больше не может устанавливать эти связи, как в случае с хроническими болями, страдает умственная деятельность.

Поскольку боль продолжается, повреждение может ухудшиться

Почему именно хроническая боль приводит к уменьшению серого вещества? Вполне возможно, что по мере того, как хроническая боль продолжается, нервные клетки головного мозга подвергаются необычно высокой нагрузке. Это означает, что они менее способны формировать новые связи с другими клетками. По мере того, как хроническая боль продолжается, она может становиться все менее поддающейся обычному обезболиванию из-за изменений в этих областях мозга.

Естественные способы справиться с хронической болью

Учитывая, что хроническая боль может привести к повреждению головного мозга, важно как можно скорее взять ее под контроль. Наряду с традиционной медициной существует множество способов естественного снижения уровня боли. К естественным методам уменьшения боли относятся иглоукалывание, массаж, гипноз, когнитивно-поведенческая терапия, йога и лечебные травы. Всегда не забывайте консультироваться со своим лечащим врачом, прежде чем пробовать новый курс лечения.